

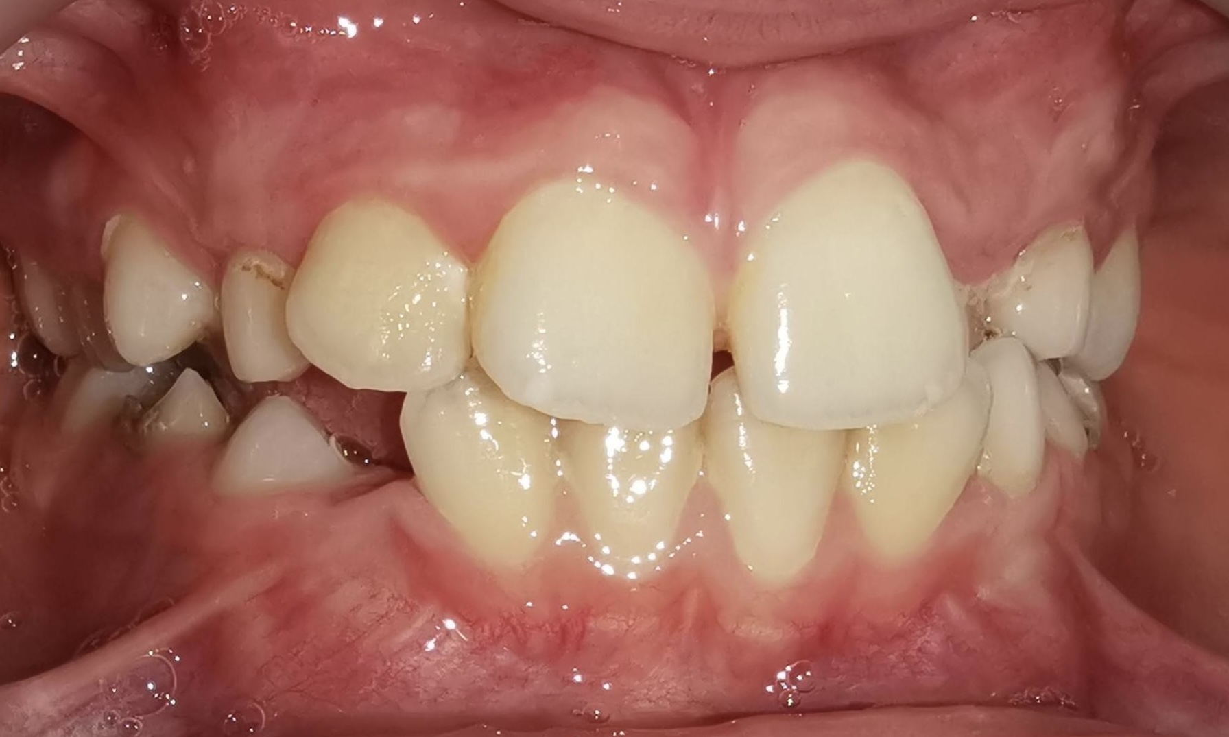
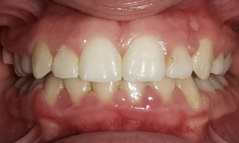
Digitális forradalom a fogászatban: Gyorsabb, pontosabb, kényelmesebb
A digitális fogászat olyan reformokat hoz a fogászat területén, amelyre eddig kevés példa volt. Ezekkel az eljárásokkal ugyanis a kezelésekkel járó kellemetlenségek is minimalizálhatóak. A Medit i700 fogászati szkenner segítségével a fogászati lenyomatvétel egycsapásra könnyebbé válik, hiszen a hagyományos eljárás legfőbb korábbi kellemetlenségét, a hányingert az eszköz teljesen kiküszöböli.
A digitális szkenner feje forgatható és alig foglal több helyet a szájban, mint egy nagyobb fogkefe. Nagy pontossággal képes lenyomatot venni, így a kapott adatokra még precízebb, pontosabb munkákat tud – szintén digitálisan – tervezni és készíteni a fogtechnikus. A jövő fogászati megoldásai biztosan adnak okot egy mosolyra.
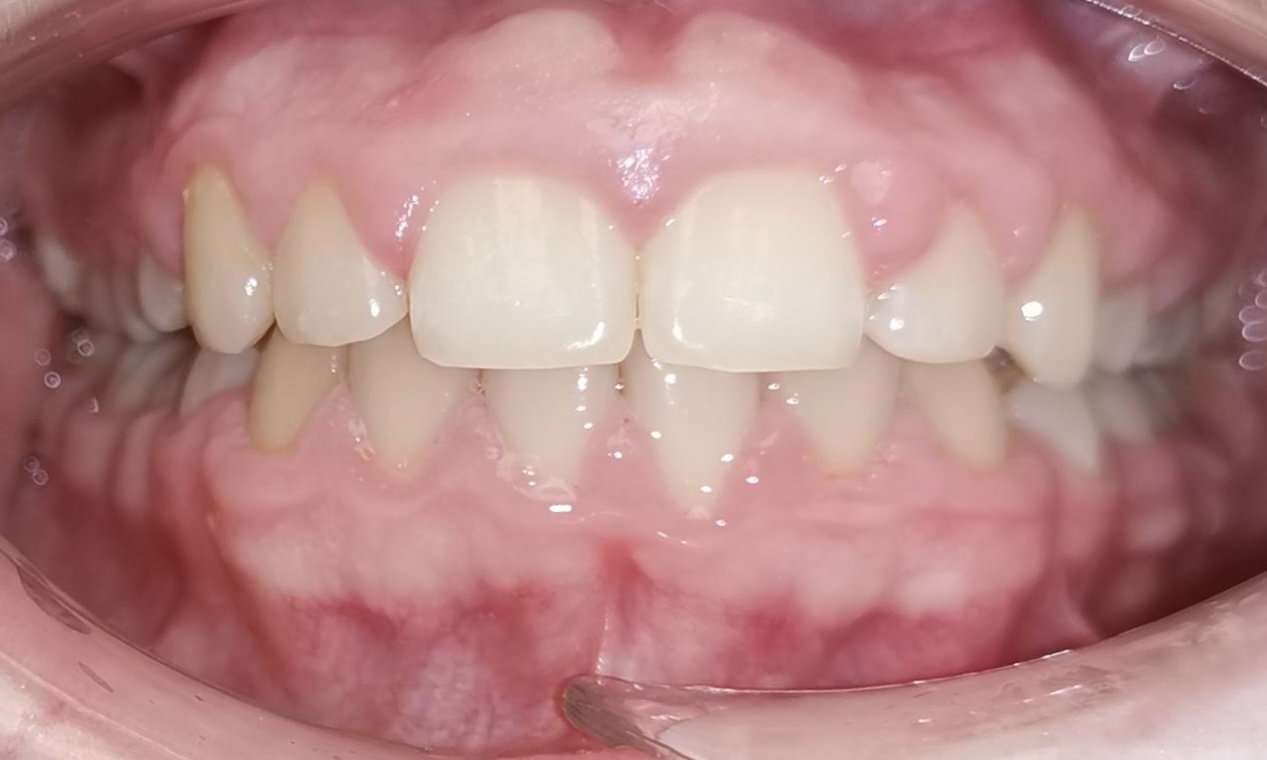
Miért jobb a digitális szkenner?
A digitális szkenner feje forgatható és alig foglal több helyet a szájban, mint egy nagyobb fogkefe. Nagy pontossággal képes lenyomatot venni, így a kapott adatokra még precízebb munkákat tud tervezni a fogtechnikus. A scannelés előnyei közé tartozik a valós idejű képmegjelenítés is, így Ön is azonnal láthatja fogsora állapotát a monitoron.
Felhasználási területek: Fogpótlások és koronák
A digitális lenyomatvétel egyik leggyakoribb felhasználási területe a fogpótlások készítése. Legyen szó egyetlen koronáról, hídról vagy akár teljes héjkerámiáról, a szkenner által küldött adatok alapján a fogtechnikai laboratórium századmilliméteres pontossággal tudja kifaragni a pótlást, így a rögzítéskor minimális csiszolásra vagy igazításra van szükség.
Modern fogszabályozás tervezése
A fogszabályozás területén a scannelés ma már alapkövetelmény. A digitális fájlok segítségével szoftveresen szimulálható a fogak mozgása, így a páciens már a kezelés megkezdése előtt láthatja a várható végeredményt. Ez a pontosság elengedhetetlen a modern, láthatatlan fogszabályozó sínek (alignerek) gyártásához is.
Precíz diagnosztika és archiválás
A diagnosztika során a szkenner lehetővé teszi a fogkopások, ínyvisszahúzódások vagy a fogak elmozdulásának nyomon követését az évek során. Mivel a digitális modellek bármikor előhívhatóak és összehasonlíthatóak, az orvos sokkal pontosabb képet kap a szájüregi változások dinamikájáról, mint a hagyományos fotók vagy gipszminták alapján.
Implantológia és sebészeti tervezés
Az implantációs beavatkozások során a scannelés kombinálható a CBCT felvételekkel. Ez a technológia lehetővé teszi a sebészeti sablonok tervezését, amelyek segítségével a szakorvos hajszálpontosan, a legbiztonságosabb pozícióba ültetheti be az implantátumot, lerövidítve ezzel a gyógyulási időt és növelve a beavatkozás sikerességét.
Hatékony kommunikáció a laborral
A digitális munkafolyamat hatalmas előnye a sebesség. Míg a hagyományos lenyomatokat futárral kell szállítani a laborba, a digitális fájlokat egyetlen kattintással továbbítjuk. Ez nemcsak környezetkímélő megoldás, hanem napokkal lerövidíti a fogpótlások elkészítési idejét, így Ön hamarabb visszakaphatja magabiztos mosolyát.
A jövő fogászati megoldásai biztosan adnak okot egy mosolyra, hiszen a technológia immár az Ön kényelmét és egészségét szolgálja minden lépésben. Ne érje be kevesebbel, mint a legmodernebb, fájdalommentes gondoskodás!

Esztétika és funkció: Személyre szabott fogpótlások a Smilecraft-nál
A foghiányok pótlása során az esztétika és a funkció mindig kéz a kézben jár. A Smilecraft-nál több évtizedes tapasztalatunk van a fogpótlások készítése területén, így garantáljuk minden páciensünknek, hogy biztosan megtaláljuk azt a megoldást, ami a leginkább megfelel az igényeknek.
A fogpótlások készítése során rendelkezésünkre állnak a legújabb digitális technológiák, partner fogtechnikai laborunk pedig olyan időtálló anyagokat használ, amelyek a legmodernebbek és a legesztétikusabbak. Az elkészült pótlásokat csak akkor adjuk át, ha mindannyian (páciens, orvos és technikus) maximálisan elégedettek vagyunk a végeredménnyel.
Rögzített megoldások: Koronák és hidak
A fogászati koronák jelentik a megoldást, ha a fog koronai része sérült, de a gyökér még menthető. Modern anyagaink, mint a cirkónium vagy a teljes kerámia, élethű és tartós pótlást biztosítanak. Amennyiben egy vagy több fog hiányzik, fogászati hidakkal hidaljuk át a rést: ilyenkor a szomszédos fogakat pillérként használva rögzítjük az esztétikus és stabil pótlást.
Implantációs fogpótlások
A legkorszerűbb eljárás a fogbeültetés, ahol az implantátum mesterséges gyökérként funkcionál. Hatalmas előnye, hogy segítségével elkerülhető a szomszédos ép fogak lecsiszolása. Az implantátumokra épített rögzített koronák és hidak érzetre és látványra is teljesen megegyeznek a természetes fogakkal, miközben megakadályozzák az állcsont sorvadását.
Részleges fogpótlások
Ha a páciens még rendelkezik saját fogakkal, de a foghiány mértéke vagy elhelyezkedése miatt fix híd nem készíthető, részleges fogpótlást javasolunk. Ezek a modern eszközök rejtett kapcsokkal vagy precíziós elmelemekkel rögzülnek a meglévő fogakhoz, így stabilabb és esztétikusabb viseletet biztosítanak a hagyományos megoldásoknál.
Teljes műfogsor és protézis
Teljes fogatlanság esetén a hagyományos kivehető műfogsor segít az arc esztétikájának és a rágófunkciónak a visszaállításában. A Smilecraft-nál kiemelt figyelmet fordítunk a precíz lenyomatvételre, hogy a protézis a lehető legpontosabban illeszkedjen az ínyre, biztosítva a kényelmet és a természetes megjelenést.
Stabilitás felsőfokon: A Locator-rendszer
A kivehető pótlások királya a locatoros fogsor, amely az implantológia és a protézis ötvözete. Ebben az esetben néhány beültetett implantátumhoz speciális „patentokkal” rögzül a fogsor. Ez a megoldás kiküszöböli a protézis elmozdulását és billegését, így viselője magabiztosan ehet és beszélhet, miközben a tisztítás továbbra is egyszerű marad.
Digitális precizitás a tervezésben
Minden típusú fogpótlásunkat digitális munkafolyamattal készítjük. A scannelés és a 3D tervezés lehetővé teszi, hogy a fogtechnikai laborunk tizedmilliméter pontosan készítse el a vázakat és a borításokat. Ez a technológia garantálja, hogy a pótlás feszülésmentes legyen, és tökéletesen illeszkedjen a páciens harapási magasságához.
A Smilecraft-nál célunk, hogy Ön ne kompromisszumot kössön, hanem egy új életminőséget kapjon. Legyen szó egyetlen korona cseréjéről vagy teljes szájüregi rehabilitációról, szakértő csapatunk és a legmodernebb technológiai háttér biztosítja a tartós és ragyogó végeredményt.

A tökéletes mosoly útja: Fogszabályozás minden életkorban
A mosoly egy híd. – Mind tudjuk, hogy egy mosoly képes összekötni két embert, de akár kapcsolatot is teremthet két idegen között. Ma már a szép mosoly, az „egyenes fogak” nemcsak kevesek kiváltsága, hanem szinte mindenki számára elérhető szolgáltatás. A fogszabályozás pedig nem csupán gyermekkorban, de felnőttkorban is sikerrel alkalmazható. A szabálytalan fogazat, mely az öröklésnek, illetve a rossz szokásoknak köszönhető, nemcsak a rágást, beszédet, hanem az arckifejezést is befolyásolhatja, sőt idő előtti fogvesztéshez is vezethet.
Azonban nem kell ilyen messzire szaladni, a fogszabályozó kezelés során az alapvető cél a hatékony rágás, megfelelő hangképzés kialakítása, helyreállítása, de természetesen a végeredménynél nem elhanyagolható a szép mosoly sem. A fogszabályozó kezelés első és egyik legfontosabb lépése a lenyomatvétel vagy a fogak beszkennelése, röntgenfelvételek készítése. Ezek alapján állítható fel a diagnózis, és készülhet el a kezelési terv, mely tartalmazza, hogy milyen készülékkel, mennyi ideig fog tartani a kezelés. Manapság különféle kivehető és rögzített készülékek tárháza áll rendelkezésünkre, ugyanakkor nagyon fontos a rendszeres ellenőrzés, „állítás”, hiszen csak így tudják folyamatosan kifejteni a hatásukat ezek az eszközök. Létezik egy igazán transzparens megoldás is: ma már megvalósítható az úgynevezett ’láthatatlan’ fogszabályozás is, mely során átlátszó speciális műanyag sínek segítségével történik a fogak mozgatása, és szinte észrevétlenül lesz a páciensnek szép mosolya.
Fogszabályozás gyermekkorban: A tejfogaktól a váltásig
A gyermekkori fogszabályozás már a tejfogazat idején elkezdődhet, ha rossz szokások (például ujjszopás vagy nyelvlökéses nyelés) állnak fenn. Ilyenkor a cél az állcsontok fejlődésének irányítása. A vegyes fogazati szakaszban – amikor a tej- és maradandó fogak egyszerre vannak jelen – kivehető készülékekkel készítjük elő a helyet a későbbi fogaknak, megelőzve a súlyosabb torlódásokat.
Kamaszkor: A maradandó fogazat optimalizálása
Amint kialakul a teljes maradó fogazat, a hangsúly a fogak pontos sorba rendezésére terelődik. Ebben az időszakban a legaktívabb a szervezet növekedése, így a fogszabályozó készülékekkel látványos és tartós eredményeket érhetünk el rövid idő alatt. A jól megválasztott készülék segít elkerülni a felnőttkori állcsont-műtéti beavatkozásokat vagy a foghúzásokat.
Felnőttkori fogszabályozás: Soha nincs késő
A felnőttkori fogszabályozás ma már teljesen természetes, sőt, sokszor elengedhetetlen része a komplex fogászati kezeléseknek, például implantáció vagy héjkerámia készítése előtt. Felnőttkorban a csontsűrűség miatt a kezelés precízebb tervezést igényel, de az eredmény ugyanolyan stabil és látványos, mint fiatalabb korban.
Rögzített fogszabályozó készülékek
A klasszikus rögzített készülékek (bracketek) jelentik a legbiztosabb megoldást a bonyolultabb fogmozgatásokhoz. Ma már választhatóak esztétikus, fogszínű porcelán tappancsok is, amelyek kevésbé feltűnőek, mint a hagyományos fém társaik. Ezek az eszközök 24 órában dolgoznak, és rendszeres havi kontroll mellett folyamatosan irányítják a fogakat a kívánt pozícióba.
A láthatatlan forradalom: Alignerek
Az úgynevezett láthatatlan fogszabályozás során kivehető, speciális orvosi műanyagból készült átlátszó sínek sorozatával mozgatjuk a fogakat. Mivel a sínek szinte láthatatlanok és étkezésnél eltávolíthatóak, a legmagasabb esztétikai igényű páciensek és a nyilvánosság előtt szereplők számára is ideális választást jelentenek.
Érdekel a láthatatlan fogszabályozás? Tudj meg többet ebben a cikkben a nálunk használt rendszerekről!
Diagnózis és digitális tervezés
A fogszabályozó kezelés egyik legfontosabb lépése a pontos diagnózis. A Smilecraft-nál modern digitális scanneléssel és röntgenfelvételekkel térképezzük fel a fogazatot. Ezek alapján készül el a kezelési terv, amely pontosan tartalmazza, hogy milyen készülékkel és mennyi ideig fog tartani a folyamat, sőt, a láthatatlan sínek esetén a végeredményt is előre megmutatjuk.
A fogszabályozás tehát nem csupán hiúsági kérdés, hanem a hosszú távú szájegészség záloga. Legyen szó egy gyermek első kivehető készülékéről vagy egy felnőtt láthatatlan sínjeiről, csapatunk a legmodernebb technológiával kíséri végig Önt a tökéletes mosolyhoz vezető úton.

Fogbeültetés felsőfokon: Tartós megoldás a hiányzó fogakra
Rengetegen használják ki az implantáció előnyeit egy-egy fog elvesztése után. Nem véletlen, hiszen ez a módszer az egyik legmodernebb megoldás, amely a fog teljes egészét képes pótolni. De mi is az a fog implantátum? A fog implantátum egy műgyökér, ami helyettesíti a hiányzó fog gyökerét. A fogászati implantáció már több mint félévszádos múlttal rendelkezik, a digitális technológiák térhódításával pedig ez a módszer is egyre inkább kedvezőbbé válik.
A Smilecraft-nál hiszünk abban, hogy az alapanyagok kiválasztása az egyik legfontosabb lépés, éppen ezért DIO implantátumokat használunk. Ez az eszköz egy amerikai-dél-koreai fejlesztés, amely lehetővé teszi a tapasztalat és a csúcstechnológia jelenlétét az implantátumokban, a felépítményekben, valamint a technikai kiegészítőkben. A fog implantáció ma már rutinbeavatkozásnak számít, méghozzá egy olyan sikerességi rátával, amely közel 100%-os. Az implantáció folyamata a következőképpen alakul: a konzultáció után elkezdődik a tervezés. Az egyik első lépés, hogy CT felvételt készítünk, amellyel lemérjük a csontkínálatot. Ez az alapja annak, hogy ki tudjuk választani a legmegfelelőbb implantátumot, melyet egy műtét során helyezünk be. Ez a beavatkozást követően 3-4 hónapig gyógyul. Eközben lezajlik a csontosodás (osseointegráció) folyamata is. A gyógyulást követően lenyomatot készítünk, amelynek alapján a fogtechnikai laborban elkészül az előzetesen választott felépítményre a fogpótlás.
Kinek és mikor javasolt az implantáció?
Gyakori kérdés, hogy kinél alkalmazható ez az eljárás. Alapvetően bárkinél, aki befejezett csontnövekedéssel (kb. 18 éves kor felett) és megfelelő szájhigiéniával rendelkezik. Az implantáció ideális megoldás egyetlen fog hiánya esetén, de teljes fogatlanságnál is, ahol fix hidak vagy stabilizált protézisek alapjául szolgálhat. Bizonyos krónikus betegségek vagy dohányzás esetén alaposabb mérlegelés szükséges, de a modern orvostudomány ma már a legtöbb esetben talál megoldást.
A tervezés pontossága: CT és digitális diagnosztika
A folyamat minden esetben alapos konzultációval és tervezéssel kezdődik. Első lépésként 3D CT felvételt készítünk, amellyel hajszálpontosan lemérjük a rendelkezésre álló csontkínálatot és a környező anatómiai képletek (idegek, arcüreg) helyzetét. Ez a digitális háttér garantálja, hogy a legmegfelelőbb méretű implantátumot válasszuk ki, és a műtét kockázatait minimálisra csökkentsük.
Amikor kevés a csont: Csontpótlás és Sinus Lift
Előfordul, hogy a foghiány óta eltelt hosszú idő miatt a csontállomány megfogyatkozik. Ilyenkor sincs ok az aggodalomra: modern csontpótló eljárásokkal megteremtjük a beültetéshez szükséges alapot. A felső állcsont rágófogainál gyakran alkalmazunk Sinus Lift-et (arcüreg-alap emelést), amely során speciális anyaggal növeljük meg a csontvastagságot, hogy az implantátum stabilan rögzülhessen.
A műtéti beavatkozás: Fájdalommentes rutin
Sokan tartanak a beültetéstől, de fontos tudni, hogy a műtét helyi érzéstelenítésben történik, és teljesen fájdalommentes. A digitális tervezésnek köszönhetően a beavatkozás gyors és célratörő. Az orvos egy precíz metszésen (vagy akár sablonon keresztül) behelyezi a műgyökeret a csontba, majd a sebet apró öltésekkel zárja. A páciensek többsége a műtét utáni napon már munkába is tud állni.
A gyógyulás és a csontosodás (Osseointegráció)
A beavatkozást követően kezdődik a legfontosabb szakasz: az osseointegráció. Ez a 3-4 hónapos gyógyulási folyamat, amely alatt a csontsejtek benövik az implantátum felszínét, így az a szervezet részévé válik. Ez idő alatt a páciensnek oda kell figyelnie a kímélő étrendre és a fokozott szájhigiéniára. Enyhe duzzanat előfordulhat a műtét utáni 1-2 napban, de ez gyorsan lezajlik.
A végleges fogpótlás elkészítése
A gyógyulási idő letelte után következik a látványos befejezés. Egy apró feltárás után lenyomatot (vagy digitális scannet) készítünk az implantátum helyzetéről. Ez alapján a fogtechnikai laboratórium elkészíti az előzetesen választott felépítményre a végleges koronát vagy hidat. A végeredmény egy olyan pótlás, amely funkciójában és esztétikájában is felveszi a versenyt a természetes fogakkal.
A Smilecraft-nál az implantáció nem csupán egy technikai folyamat, hanem az Ön önbizalmának és rágóképességének visszaállítása. A legmodernebb eszközökkel és szakértelemmel gondoskodunk arról, hogy az új fogai hosszú évtizedekig hűséges társai legyenek.

Diagnosztika és szájhigiénia: A ragyogó mosoly alapjai
A mosoly megérdemli a legjobb törődést. A Smilecraft-nál különösen fontosnak tartjuk, hogy minden fog megkapja a megfelelő figyelmet. Legyen szó akár a rendszeres kontrollról vagy éppen a professzionális tisztítás szükségességéről, mi mindig a legnagyobb szakértelmünkkel állunk minden páciensünk rendelkezésére.
Nincs ez másként a diagnosztika és a szájhigiéniai kezelések esetében sem. Több évtizedes tapasztalatunk alapján a diagnosztizálás után rögtön átfogó kezelési tervet tudunk készíteni, melyben nagy segítségünkre van panorámaröntgenünk, illetve a modern, digitális fogászat legújabb trendjeinek megfelelve orál szkennerünket is bevetjük a legjobb megoldás érdekében.
Stúdiónk kialakításánál arra törekedtünk, hogy mindenképpen családias, baráti hangulatú legyen a rendelőnk, ezt pedig az eszközök kiválasztásánál is figyelembe vettük. Stern Weber székünk a rendelőben többfunkciós, így a konzultáció során a páciens velünk szemben ülve tud a kezelést megelőzően beszélgetni, ezáltál közvetlenebb lehet már az első látogatás is. A vizsgálathoz pedig a szék 90 fokban befordítható, amivel könnyedén biztosíthatóak a kezeléshez szükséges körülmények.
Családias hangulat és csúcstechnológia
Stúdiónk kialakításánál arra törekedtünk, hogy rendelőnk családias, baráti hangulatú legyen, amit az eszközök kiválasztásánál is figyelembe vettük. Stern Weber székünk többfunkciós, így a konzultáció során a páciens velünk szemben ülve tud beszélgetni, ami közvetlenebbé teszi az első találkozást. A vizsgálathoz a szék 90 fokban befordítható, maximális kényelmet biztosítva a kezelés alatt.
Professzionális fogkőlevétel: A megelőzés kulcsa
A fogkő nem csupán esztétikai probléma, hanem az ínygyulladás és a fogágybetegségek fő okozója. Rendelőnkben ultrahangos technológiával távolítjuk el a fogfelszínekről, valamint az íny alatti területekről a lerakódott plakkot és fogkövet. Ez a fájdalommentes beavatkozás felfrissíti az ínyt, és segít megőrizni a fogak stabilitását hosszú távon is.
Prophyflex kezelés: A „sópólírozás” ereje
A fogkőlevételt követően alkalmazzuk a Prophyflex eljárást, amelyet sokan „sópólírozásként” ismernek. Ennek során finom szemcséjű por és vízsugár keverékével tisztítjuk meg a fogfelszíneket. Ez a technika még a legapróbb barázdákból is eltávolítja az elszíneződéseket (kávé, tea, dohányzás nyomai), így a fogak visszanyerik természetes simaságukat és fényüket.
Ragyogó fehérség: Fogfehérítés rendelői környezetben
Ha még fehérebb mosolyra vágyik, rendelői fogfehérítésünk kínálja a leggyorsabb és leghatékonyabb megoldást. Ellenőrzött körülmények között, magas koncentrációjú anyaggal és speciális lámpával dolgozunk, így alig egy óra alatt több árnyalatnyi változás érhető el. A folyamat biztonságos, és az íny védelme mellett garantálja a látványos eredményt.
Kényelmes megoldás: Otthoni fogfehérítés
Aki a fokozatosabb megoldást preferálja, annak az otthoni fogfehérítő készletet ajánljuk. Ebben az esetben a digitális lenyomat alapján egy teljesen egyedi, precíz sín készül a páciens fogsorára. Ebbe kell belehelyezni a professzionális fehérítő gélt, és naponta néhány órát viselni. Ez a módszer kiválóan alkalmas a rendelői fehérítés eredményének szinten tartására is.
Személyre szabott szájhigiéniai tanácsadás
A Smilecraft-nál a kezelés nem ér véget a székből való felállással. Szájhigiénikus kollégáink minden páciensnek egyéni tanácsokat adnak a helyes fogmosási technikákról, valamint a fogselyem és az interdentális kefe használatáról. Célunk, hogy a nálunk elért tiszta és egészséges állapotot Ön otthon is a lehető legtovább meg tudja őrizni.
Hiszünk abban, hogy a rendszeres gondoskodás a legkifizetődőbb befektetés az egészségünkbe. A modern diagnosztika és a gyengéd tisztítási folyamatok nálunk kéz a kézben járnak, hogy Ön mindig magabiztosan mosolyoghasson a világra.

Észrevétlen védelem a fogaknak
A fogtömés az egyik leggyakoribb fogászati eljárás. Majdnem mindenkinek készül legalább egy fogtömés az élete során. Mikor van szükség fogtömésre? Ha a fogakat borító fogzománc felszíne, illetve az alatta lévő dentin megsérül, melynek oka sok esetben a fogszuvasodás. Ugyanakkor a fogak kopása vagy letöredezése esetén is pótolható a hiányzó fogállomány.
Az innováció ezen a téren is segíti a szakembereket, a korábban használt anyagok helyett ugyanis ma már korszerű, egészségkárosító hatásoktól mentes alapanyagok állnak rendelkezésre. A Smilecraft-nál olyan töméseket készítünk, amelyek a foggal megegyező színűek, szinte teljesen láthatatlanok.
Miért nem szabad halogatni a kezelést?
A fogszuvasodás egy folyamatosan terjedő folyamat, amely kezdetben fájdalommentes lehet, de idővel eléri a fog mélyebb rétegeit és az idegcsatornát is. A korai stádiumban felhelyezett esztétikus tömés megállítja a roncsolódást, megőrzi a fog vitalitását, és megkíméli a pácienst a későbbi, jóval összetettebb gyökérkezelési procedúráktól.
Mikor alkalmazható az esztétikus tömés?
A modern kompozit tömések kiválóan alkalmasak a frontfogak esztétikai korrekciójára, valamint a rágófogak kisebb és közepes méretű üregeinek betömésére. Anyaguk különleges, fényre kötő műgyanta, amely kémiailag is kötődik a fogszövethez, így minimális fúrással is stabilan a helyén marad, ellentétben a régi amalgám tömésekkel.
Mire számíthat a kezelés során?
A beavatkozás nálunk minden esetben fájdalommentes, helyi érzéstelenítésben történik. Miután eltávolítottuk a szuvas részeket és megtisztítottuk az üreget, rétegenként építjük fel a tömést. Minden réteget speciális lámpával keményítünk meg, végül pedig a fog formájára alakítjuk és polírozzuk a felszínt, hogy a harapás kényelmes, a felület pedig selymes legyen.
Az esztétikus tömések élettartama
A modern tömőanyagok rendkívül strapabíróak, élettartamuk megfelelő szájhigiénia és rendszeres kontroll mellett átlagosan 5-10 év. Fontos azonban tudni, hogy a tömés szélei az évek alatt elszíneződhetnek vagy elhasználódhatnak, ezért javasoljuk az évenkénti ellenőrzést, hogy szükség esetén időben elvégezhessük a frissítést vagy cserét.
Mikor kevés a tömés? Az Inlay és Onlay előnyei
Vannak helyzetek, amikor a fog koronai részének több mint fele hiányzik. Ilyenkor a hagyományos tömés már nem nyújt elegendő stabilitást, és fennáll a fog továbbrepedésének veszélye. Ekkor javasoljuk a betéteket (inlay vagy onlay), amelyek olyan „szilárd tömések”, amiket a fogtechnikus készít el lenyomat alapján, majd mi ragasztunk be a helyére.
Betét vagy korona: Mi a különbség?
Míg a betét a fog egy részét pótolja rendkívül tartós kivitelben, addig a fogászati koronát akkor választjuk, ha a fog szinte teljesen megsemmisült vagy gyökérkezelték. A korona „sisakként” borul a fogra, megvédve azt a töréstől. A Smilecraft szakemberei mindig a legkevesebb foganyag feláldozásával járó megoldást javasolják, szem előtt tartva a tartósságot.
A Smilecraft elkötelezett a minőségi és észrevehetetlen fogászati megoldások mellett. Nálunk a funkcionalitás nem mehet az esztétika rovására, így Ön biztos lehet benne, hogy mosolya nemcsak egészséges, hanem természetesen szép is marad a kezelés után.

Szájsebészet és góckutatás: A szervezet egészségének védelmében
A Smilecraft-nál kiemelt figyelmet fordítunk arra, hogy a lehető legkevesebb csontvesztéssel húzzunk fogat, ennek oka, hogy ezzel is biztosítjuk a gyógyuláshoz és akár a későbbi implantációhoz a legjobb környezetet. Tudjuk, hogy minden szájsebészeti beavatkozás ijesztő lehet, ugyanakkor több évtizedes tapasztalatunkkal ezeket a folyamatokat a lehető leginkább fájdalommentes módon végezzük minden páciensünk számára.
Vannak esetek, amikor a foghúzás már nem elkerülhető – ennek oka a fog helyzete is lehet -, ilyen például, ha a fog körüli gyulladások nagy méreteket öltenek. Fontos megismerni azokat az eseteket is, amikor akár egy tünetmentes fog is gócbetegséget okozhat. Utóbbi alatt azt értjük, ha egy adott szerv vagy szervrendszer megbetegedése a szervezet egy távolabbi pontján kialakult fertőzéses eredetű, gyulladásából származik. Ennek leggyakrabban a felső légutakban és a fogak környékén van a kiindulási pontja, ezért is fontos a rendszeres ellenőrzés, hiszen ez segít abban, hogy időben felfedjük az esetlegesen lappangó problémákat is.
Mikor válik szükségessé a fogeltávolítás?
A foghúzás az utolsó eszköz az orvos kezében, de bizonyos esetekben elkerülhetetlen. Ilyen például a menthetetlenül szuvas fogállomány, a fogágybetegség miatt mozgathatóvá vált fogak, a gyökércsúcs körüli krónikus gyulladások, vagy ha a fog egy baleset során olyan szerencsétlenül tört el, hogy nem építhető fel többé. Emellett fogszabályozási célból is szükség lehet bizonyos fogak eltávolítására a torlódás megszüntetése érdekében.
A bennmaradt, gyulladt fogak veszélyei
Sokan hajlamosak halogatni a húzást, ha a fog éppen nem fáj. Azonban egy bennmaradt, gyulladt fog folyamatos veszélyforrás: a baktériumok a véráramba jutva elszóródhatnak a szervezetben. A kezeletlen gyulladás ráadásul pusztítja a környező állcsontot, ami később megnehezíti vagy akár el is lehetetleníti a fogpótlást vagy az implantációt.
A fogászati góc fogalma
Fogászati gócnak nevezzük azokat a krónikus, sokszor tünetmentes gyulladásokat (pl. elhalt, gyökérkezelésre nem reagáló fogak, bennmaradt foggyökerek), amelyekből a baktériumok és méreganyagaik folyamatosan a keringésbe jutnak. Ez egyfajta „időzített bomba”, amely akkor válik aktívvá, amikor az immunrendszer egyéb okból legyengül.
A gócbetegség távolhatásai
Gócbetegség alatt azt értjük, ha egy távolabbi szerv megbetegedése egy ilyen fertőzéses eredetű gyulladásból származik. A fogászati gócok gyakran okozhatnak foltos hajhullást, bőrgyógyászati panaszokat, ízületi fájdalmakat, vagy akár súlyos szív- és érrendszeri megbetegedéseket. Sok esetben egy sikeres foghúzás után ezek a távoli tünetek is megszűnnek.
A fogászati góckutatás jelentősége
A góckutatás során panorámaröntgennel és alapos vizsgálattal keressük azokat a rejtett problémákat, amelyek panaszt ugyan nem okoznak, de veszélyeztetik az egészséget. Ez a vizsgálat elengedhetetlen műtétek előtt (pl. szívműtétek, ízületi protézis beültetése), de javasolt minden olyan esetben is, amikor ismeretlen eredetű gyulladás van a szervezetben.
A bölcsességfogak eltávolításának fontossága
A bölcsességfogak gyakran okoznak problémát: helyhiány miatt beszorulhatnak, nehezen tisztíthatóak, és nyomást gyakorolhatnak a többi fogra, elmozdítva azokat. A részben előtört bölcsességfogak mellett kialakuló ínytasakok folyamatos gyulladás forrásai lehetnek. Ezek időben történő, szakszerű eltávolítása megelőzi a fájdalmas arcduzzanatokat és a szomszédos fogak károsodását.
A Smilecraft csapata arra törekszik, hogy a szájsebészeti beavatkozás ne egy rossz emlék, hanem a gyógyulás kezdete legyen. A rendszeres ellenőrzés segít abban, hogy időben felfedjük a lappangó problémákat, és megőrizzük mosolya és szervezete épségét.

Pozitív élmények, egészséges felnőtt mosoly
Különösen fontosnak tartjuk, hogy a kicsiknek pozitív élménnyé alakítsuk az első vizsgálatokat, hiszen ez a fajta tapasztalat jelentősen befolyásolja a felnőttkori fogorvosi látogatásokat.
Azért is meghatározó ezeknek a kezeléseknek a megszervezése, mert ezek alapján felnőttkorra is könnyen rutinná válik például a kontrollra járás vagy egy-egy kezelés. A Smilecraft-nál hiszünk abban, hogy az őszinte gyermeki mosoly az igazi boldogság alapja.
Mikor érkezzünk az első vizitre?
Sokan kérdezik, mikor jön el az ideje az első látogatásnak. Javasoljuk, hogy az első tejfogak megjelenésekor, de legkésőbb egy-másfél éves korban látogassanak el hozzánk. Ilyenkor még nem a kezelés a cél, hanem az ismerkedés: a gyermek felfedezi a környezetet, a „liftes” széket és az orvost, így megelőzhető a későbbi szorongás kialakulása.
Fogmosás az első pillanattól
A szájápolást nem lehet elég korán kezdeni: már az első kibújó tejfogacskát is tisztítani kell! Kezdetben puha sörtéjű gyermekfogkefét vagy tiszta gézlapot használjunk. Fontos, hogy a gyermek életkorának megfelelő fluoridtartalmú fogkrémet válasszunk, és a fogmosás egészen kisiskolás korig szülői felügyelettel és utótisztítással történjen, hogy minden felszín garantáltan tiszta legyen.
A rendszeres kontroll jelentősége
Gyermekkorban a folyamatok sokkal gyorsabban zajlanak le, mint felnőtteknél. Ezért a kicsiknél a félévenkénti, de ideális esetben a 3-4 havonta történő kontroll javasolt. Ez lehetővé teszi, hogy a kezdődő szuvasodásokat még akkor észleljük, amikor egy minimális beavatkozással vagy ecseteléssel orvosolhatóak, elkerülve a későbbi fájdalmat.
Tejfogtömés: Miért fontos megőrizni?
Tévhit, hogy a tejfogat nem kell tömni, mert „úgyis kiesik”. A tejfogak tartják a helyet a maradandó fogaknak, és segítik az állcsont fejlődését. Egy elhanyagolt, szuvas tejfog fájdalmat okozhat, gyulladásba hozhatja az alatta lévő maradandó fogcsírát, sőt, korai elvesztése később súlyos fogszabályozási problémákhoz vezethet.
Tejfoggyökérkezelés és utógondozás
Ha a szuvasodás eléri a tejfog belsejét, szükség lehet tejfoggyökérkezelésre. Ilyenkor kitisztítjuk a fertőzött részeket és speciális gyógyszeres töméssel látjuk el a fogat. Célunk, hogy a fog a természetes fogváltásig a szájban maradjon, ellátva rágó- és helyfenntartó funkcióját, megkímélve a gyermeket a korai foghúzás traumájától.
Megelőzés mesterfokon: Barázdazárás
Amint megjelennek az első maradó őrlőfogak (általában 6 éves kor körül), javasoljuk a barázdazárást. Ez egy teljesen fájdalommentes eljárás, amely során a rágófogak mély barázdáit egy vékony védőréteggel vonjuk be. Ez megakadályozza, hogy az ételmaradékok és baktériumok megtelepedjenek a nehezen tisztítható mélyedésekben, így évekig védelmet nyújt a szuvasodás ellen.
Játékos edukáció a székben
Nálunk a gyerekek nemcsak páciensek, hanem kis felfedezők is. Megmutatjuk nekik az eszközöket, elmagyarázzuk, mi történik, és dicsérettel ösztönözzük őket az együttműködésre. A türelem és a kedvesség nálunk alapfelszereltség, hiszen tudjuk: a ma bátor gyermeke a holnap tudatos felnőtt páciense.
A Smilecraft elkötelezett amellett, hogy a gyermekek félelem nélkül, mosolyogva távozzanak a rendelőből. Szakértő csapatunk és barátságos környezetünk garancia arra, hogy a kicsik fogai a lehető legjobb kezekben legyenek a tejfogaktól egészen a felnőttkorig.
